양악수술은 최근 미용과 기능성을 동시에 고려하는 수술로 많은 사람들에게 관심을 받고 있습니다. 이번 포스팅에서는 양악수술에 대한 다양한 정보를 자세히 알아보도록 하겠습니다.

양악수술의 정의
양악수술은 상악과 하악의 뼈를 조정하여 교합을 개선하고 얼굴의 비대칭을 교정하는 수술입니다. 이 수술은 단순한 미용 목적뿐만 아니라, 기능적인 문제를 해결하기 위해서도 시행됩니다. 예를 들어, 부정교합이나 턱관절 장애를 가진 환자에게 효과적입니다.
양악수술의 필요성
양악수술이 필요한 이유는 다양합니다. 첫째, 부정교합으로 인해 음식 섭취에 어려움을 겪는 경우가 많습니다. 둘째, 턱의 비대칭으로 인해 자신감이 떨어질 수 있습니다. 셋째, 턱관절 통증이나 두통과 같은 증상을 완화하기 위해서도 필요합니다. 이러한 문제들은 단순한 교정치료로는 해결되지 않기 때문에 수술이 필요합니다.
양악수술의 과정
양악수술은 여러 단계로 이루어집니다. 먼저, 환자의 상태를 진단하기 위해 X-ray 촬영과 3D 스캔을 진행합니다. 이후, 수술 계획을 세우고, 수술 당일에는 전신 마취를 시행합니다. 수술 과정은 상악과 하악의 뼈를 절단하고, 필요한 위치로 이동시킨 후 고정하는 방식으로 진행됩니다. 수술 시간은 보통 1~7시간 정도 소요됩니다.
| 양악수술 전 (정면) | 양악수술 후 (정면) |
![]() |
![]() |
![]() |
![]() |
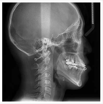
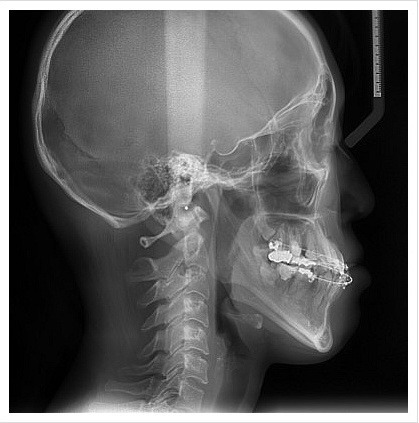
| 양악수술전(옆면) | 양악수술후(옆면) |
양악수술의 장점과 단점
양악수술의 장점은 무엇보다도 기능적인 개선과 미용적인 효과를 동시에 얻을 수 있다는 점입니다. 수술 후에는 교합이 개선되어 음식 섭취가 용이해지고, 얼굴의 비대칭이 교정되어 외모가 개선됩니다. 그러나 단점으로는 수술 후 회복 기간이 필요하며, 통증이나 부기 등의 부작용이 있을 수 있습니다. 또한, 수술 비용이 상당히 높을 수 있습니다.
양악수술 후 관리
수술 후에는 철저한 관리가 필요합니다. 초기에는 부기를 줄이기 위해 얼음찜질을 하고, 처방된 약물을 복용해야 합니다. 또한, 수술 후 1~2주간은 부드러운 음식을 섭취하는 것이 좋습니다. 정기적인 병원 방문을 통해 회복 상태를 체크하고, 필요시 추가적인 치료를 받을 수 있습니다.

양악수술의 비용
양악수술의 비용은 병원과 수술 방법에 따라 다르지만, 대체로 300만 원에서 800만 원 사이입니다. 보험 적용 여부에 따라 비용이 달라질 수 있으니, 사전에 충분한 상담이 필요합니다.
양악수술 관련 FAQ
-
양악수술은 얼마나 아픈가요?
- 수술 후 통증이 있을 수 있지만, 의사의 처방에 따라 통증 관리가 가능합니다.
-
회복 기간은 얼마나 걸리나요?
- 일반적으로 2주 후 일상생활이 가능하지만, 완전한 회복은 몇 달이 걸릴 수 있습니다.
-
수술 후 흉터는 남나요?
- 수술 부위에 따라 다르지만, 대부분의 경우 흉터는 최소화됩니다.
양악수술은 외모와 기능을 동시에 개선할 수 있는 중요한 수술입니다. 하지만, 충분한 정보와 상담을 통해 신중하게 결정하는 것이 필요합니다. 😊
이런 자료를 참고 했어요.
[1] 서울아산병원 - 양악수술 | 검사/시술/수술 정보 (https://www.amc.seoul.kr/asan/healthinfo/management/managementDetail.do?managementId=360)
[2] 나무위키 - 양악수술 (https://namu.wiki/w/%EC%96%91%EC%95%85%EC%88%98%EC%88%A0)
[3] 부산대학교치과병원 - 양악수술이란? (https://pnudh.co.kr/pnudh/board/view.do?cmnx=67&idx=10)
[4] goodoc.co.kr - 양악수술이란? - 굿닥(goodoc) 시술백과 (https://www.goodoc.co.kr/dict/67/)
'질병 & 증상(내 몸의 이상 신호)' 카테고리의 다른 글
| 2025년 갑작스러운 의료 위기, 사각지대 긴급 의료비 지원 (0) | 2025.05.09 |
|---|---|
| 병원비 걱정 끝! 든든한 의료 안전망, 본인부담상한제 완벽 분석 (0) | 2025.05.08 |
| 머리 부딪힘, 괜찮을까? 소아 두부외상의 모든 것: 증상, 진단, 치료 (0) | 2025.05.07 |
| 희귀 뇌혈관 질환, 모야모야병이란 무엇일까요? 증상, 진단, 치료 완벽 정리 (0) | 2025.05.03 |
| 봉와직염항생제만으로 될까? 효과적인 치료 방법 총정리 (0) | 2025.05.03 |



